
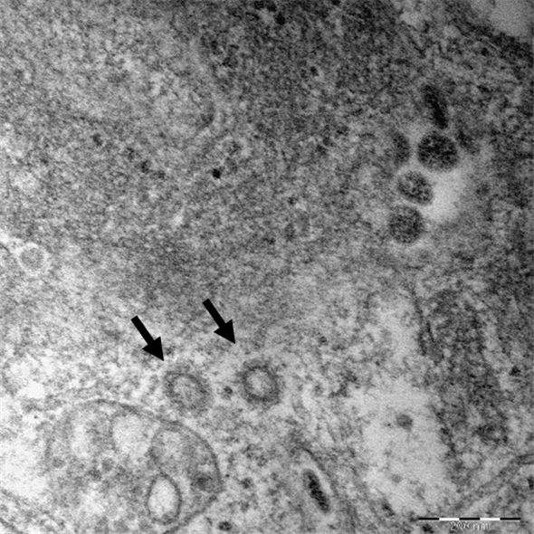
질병관리본부(본부장 정은경)는 27일 6명의 코로나19 환자로부터 얻은 바이러스 유전자를 분석한 결과와 고해상 전자현미경 사진을 공개했다.
분석결과 바이러스가 인체에 침입하는데 중요한 역할을 하는 세포결합부위, 바이러스 증식과 병원성 등을 담당 하는 유전자 부위에서 아직까지 변이가 발견되지는 않았다.

분석한 6개 바이러스는 환자로부터 채취한 검체에서 5개 바이러스를 분리해 분석했으며, 1개는 분리없이 검체에서 직접 유전자를 추출해 분석했다. 또한, 코코로나19 바이러스 유전자 전체를 분석했다.
질병관리본부 정은경 본부장은 “고해상 전자현미경 사진을 공개하면서, 현재 바이러스 특성 분석을 진행하고 있으므로, 예방과 대응을 위한 보다 상세한 분석결과가 곧 제시될 수 있을 것”이라고 전했다.
■ 유전자가 99.97% 이상 동일하다는 것은 무슨 뜻일까.
코로나19 바이러스는 29,800개 유전자 염기서열로 구성되어 있는데, 국외 코로나19 환자 유래 바이러스의 유전자 염기서열과 99.7% 이상이 동일하다는 의미이며, 0.03%(8~9개 염기)는 다르다는 것을 말한다.
다만 유전자 차이가 확인된 부위는 바이러스의 병원성과 증식과 관련이 없는 부위 (ORF1a, ORF3a, nsp3, nsp6)로서 병원성이나 전파력에 영향은 없다.
■ 코로나19 바이러스 변이 발생은 일반적이다?
모든 바이러스는 증식하는 과정에서 염기서열에 변이가 생길 수 있으며, 변이는 전파력이나 병원성에 영향을 미치기도 하고 전혀 영향이 없기도 한다.
변이의 발생 빈도와 정도는 바이러스의 특성에 따라 다르며, 코로나19 바이러스의 변이 특성은 전세계적으로 더 많은 자료가 축적·공유되어야 알 수 있다.
질본 관계자는 "지속적으로 코로나바이러스의 변이를 감시를 할 것"이라고 덧붙였다.
이경호 공유경제신문 기자 news@seconomy.kr



















