
수두증을 이해하기 위해서는 우선 뇌 속 구조에 대한 이해가 필요하다. 우리 뇌는 단단한 두개골 안의 공간에서 뇌척수액이라고 하는 액체에 떠 있는 상태로 위치해 있다. 이 뇌척수액이 뇌가 두개골에 눌리지 않도록 하고 외부 충격으로부터 보호해주는 역할을 한다. 또한, 여러 신경호르몬을 전달해주고 노폐물을 제거해주는 역할도 한다.
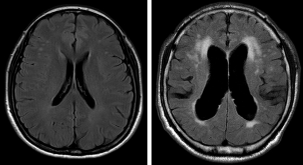
뇌척수액은 뇌실에 존재하는 맥락총이라는 부분에서 생성돼 뇌 주변을 순환한 뒤 거미막 융모에서 흡수 되는데, 생성이 과다하거나 흡수가 잘 되지 않으면 뇌실 내 적정양인 120-150ml를 유지하지 못하고 점점 축적된다.
이러한 상태를 수두증이라고 부른다. 그리고 뇌척수액의 압력이 정상 범위인데도 수두증이 나타나는 것을 정상압 수두증이라고 한다. 과다 축적된 뇌척수액이 뇌 조직을 압박하게 되면 보행·배뇨장애, 기억저하와 같은 증상으로 나타나는 것이다. 단순히 증상만 놓고 보았을 때는 파킨슨병으로 오인하기 쉽다.
정상압 수두증은 과다 축적된 뇌척수액을 제거해주면 뇌 조직의 압박이 줄어들어 증상이 호전되는데, 이를 위해 먼저 요추 사이 공간에 주사 바늘을 찔러 뇌척수액을 빼내는 간단한 시술로 증상의 호전 여부를 확인한다. 하지만 뇌척수액은 우리 뇌 안에서 계속 만들어지기 때문에 일반적으로 배액 효과가 오래 지속되기는 어렵다.
따라서 시술 후 증상이 호전되면 뇌척수액을 복강으로 빼주는 션트 수술로 정상압 수두증을 치료한다. 파킨슨병의 경우에는 약물 요법이 주된 치료이나 정상압 수두증에서 약물 요법은 효과가 없다.
일반적으로 정상압 수두증은 파킨슨병이 동반되지 않는다고 알려져 왔다. 그러나 최근 분당서울대병원 신경과 박영호 교수 연구팀이 정상압 수두증 환자에서 파킨슨병이 동반된 사례를 보고하며 학계의 관심을 모으고 있다.
이 환자는 요추 사이 공간을 통한 뇌척수액 배액술 후 보행장애가 크게 개선돼 정상압 수두증으로 진단됐다. 그런데 렘수면행동장애(수면 상태에서 비정상적으로 근육의 긴장이 낮아지지 않아 꿈의 내용을 실제 행동으로 옮기는 증상)와 서동증(행동 느림)이 두드러지게 나타났고, 도파민 운반체 양전자방출단층촬영(PET) 검사에서도 파킨슨병이 의심되는 결과가 확인됐다.
신경과 박영호 교수는 “정상압 수두증은 70세 이상 노인 100명 중 두 명에서 볼 수 있는 비교적 흔한 질환”이라며 “이 환자의 경우 정상압 수두증으로 진단받았지만 렘수면행동장애와 서동증이 심해 실시한 PET 검사에서 파킨슨병 소견이 나타나, 뇌척수액 배액과 함께 파킨슨병 약제를 복용하며 증상이 더욱 개선된 경우”라고 말했다.
이어 “정상압 수두증은 이렇게 수술적 치료로 증상을 개선할 수 있는 질환이므로 노년기에 기억저하와 함께 보행 및 배뇨장애가 나타날 때에는 정상압 수두증인지 확인이 필요하고, 특히 정상압 수두증을 앓더라도 렘수면행동장애가 있거나 움직임이 눈에 띄게 느려진다면 파킨슨병이 동반되는 것일 수 있어 적절한 치료를 받아야 한다”고 덧붙였다.
한편, 이번 연구결과는 미국 신경학회(American Academy of Neurology) 학술지 ‘신경학(Neurology)’ 7월호에 게재됐다.
김봉수 기자 news@seconomy.kr



















